¿Cómo sé si necesito un tratamiento?

Al igual que con cualquier traumatismo bucal, debe consultar a su dentista de inmediato para determinar si es necesario realizar un tratamiento. Su dentista examinará el área afectada y, probablemente, tome algunas radiografías.

Si siente dolor a causa de un diente roto, quebrado o astillado, tome un analgésico de venta libre. De ser posible, guarde la parte del diente que se ha roto y llévesela al dentista.

Si perdió un diente por un golpe o accidente, lleve el diente a su dentista lo antes posible. Probablemente, el diente se pueda volver a colocar en la boca mediante un procedimiento llamado reimplantación.

Tratamiento odontológico para:

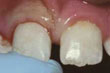
Dientes astillados: si no siente dolor y la astilla es pequeña, usted deberá decidir si se hará reparar ese diente, cómo y cuándo. Según el tamaño de la astilla, el dentista lo alisará o corregirá cosméticamente. Otras opciones incluyen revestimientos, coronas y restauraciones. Si una restauración o un diente artificial se astilla, hay que reemplazarlo.

Dientes rotos o quebrados: los dientes rotos y quebrados deben ser reparados lo antes posible para evitar daños mayores. En ocasiones será necesario realizar un tratamiento de conducto radicular o la extracción del diente. Si la fractura afecta al esmalte y a la dentina del diente, el mejor tratamiento suele ser una corona. Tenga en cuenta que las fracturas no siempre son visibles, aún en las radiografías. Los síntomas suelen ser: dolor al masticar y sensibilidad a los alimentos y líquidos fríos o quizás calientes, así como al aire. Con el trascurso del tiempo, esos síntomas pueden acentuarse.

Dientes perdidos por golpes o accidentes: la clave para volver a insertar satisfactoriamente un diente es reimplantarlo en el alvéolo lo antes posible. Con cada minuto que pasa, mueren más células en la raíz del diente. De ser posible, no toque el diente y acuda al dentista lo más rápidamente posible. Recoja el diente por la corona únicamente y no deje que se seque colocándolo en agua o leche. La reimplantación dentro de los primeros 30 minutos ofrece las mayores probabilidades de éxito, que siguen siendo importantes hasta dos horas después. Quizá sea necesario hacer un tratamiento de conducto radicular una a dos semanas después de que el diente se haya estabilizado.

Los dientes perdidos, independientemente de sí han sido extraídos por un dentista o perdidos por accidente, deben ser reemplazados. De esta manera, evitará los siguientes problemas: dificultades en la masticación y el habla, cambio de posición de los dientes restantes, trastornos de la articulación temporomandibular (ATM) provocados por la intensa masticación del lado con más dientes y la consecuente debilitación del hueso mandibular. Las opciones para reemplazar los dientes perdidos son: puentes, prótesis dentales e implantes.

Mandíbula fracturada: si sospecha que alguien tiene la mandíbula fracturada, no lo mueva. Asegure la mandíbula en su lugar con un pañuelo, una corbata o una toalla atada alrededor de la misma y sobre la cabeza. Utilice compresas frías para reducir la hinchazón, si se presenta. Diríjase inmediatamente a la sala de emergencias de un hospital o llame a su dentista.

Diente frontal astillado
Diente roto
Diente astillado después de la reparación
Diente roto
Diente permanente perdido
Diente roto
Reinserción cuidadosa de un diente perdido por accidente
Diente roto